載入程式圖片

醫學美容|Beauty

1.仙女玻尿酸是什麼?

來自韓國生技大廠,由孫藝珍-孫仙擔任國際形象大使,所以稱為仙女玻尿酸,仙女玻尿酸是運用「SHAPE獨家柔光技術」研發而成,同時兼具柔軟性、支撐性、黏彈性與高融合度的玻尿酸,除了可提供臉部完美輪廓,還能讓整體視覺更加柔和,不同於其他傳統玻尿酸,仙女玻尿酸更適合講就自然感的你,打造跟孫仙一樣「自然柔美」的初戀臉,綻放微笑美肌。

2.仙女玻尿酸的五大承諾?

  • 使用美國FDA和歐洲EDQM認證的玻尿酸原料製成
  • 經TFDA、CE、KFDA所批准的優質產品,臨床實證效果優異
  • 獲選韓國新一代「世界一流填充物」
  • 含減痛麻藥,讓您美得舒適安全
  • 超越業界標準,品質通過最高規格與檢驗

3.仙女玻尿酸的四大特色

極高安全性

嚴格的品質與控管標準-幾近無法驗出BDDE殘留量
安全性遠高於一般業內標準
Medytox玻尿酸BDDE殘量需趨近於0,市場上一些玻尿酸還是殘有一些BDDE含量。
BDDE具有一定的致癌風險,且BDDE殘留量的行業標準必須小於2 ppm。

極佳的內聚力

內聚(Cohesiveness )對於產品能於組織內維持其形狀至關重要,以下為內聚力實驗測試,Neuramis在注射後仍保持其原始形狀,這歸功於鏈結之間出色的凝聚力。

仙女玻尿酸

他牌單向玻尿酸

他牌雙向玻尿酸

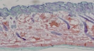
優越的組織相容度

良好的組織相容度,是注射後呈現然效果的關鍵!

在病理切片下,仙女玻尿酸顯出良好的膚相容性與耐受度,注射後與膚周圍的組織很好地融合,呈現然外觀。

注射前組織

仙女玻尿酸

他牌雙向玻尿酸

高度支撐

Neuramis® 具有很⾼的堅韌度。可以抵抗外⼒和壓⼒,避免注射後產⽣形變與位移

4.有感改善案例BEFORE & AFTER

全臉

基準

3週後

七個月後

淚溝

術前

3週後

七個月後

注意事項

治療前

  • 請告知主治醫師您的病史以及過去6個月內是否進行任何醫美
  • 抗凝血劑、阿斯匹靈等藥物、或人蔘、銀杏、大蒜萃取物等,可能會造成注射部位較多瘀青或出血
  • 若正在哺乳、懷孕或有相關計劃,或是對利多卡因過敏者,請告知治療醫師
  • 務必簽署治療同意書
  • 拍攝術前、術後照以供效果比對與追蹤
  • 若有嚴重過敏病史,或對玻尿酸任何成分增經有過敏並使者,請勿注射

治療後

  • 術後立即冰敷注射部位,以減緩紅腫瘀青
  • 治療區域可能會發輕微紅腫、腫脹及搔癢的感覺,因⼈⽽異可能會持續3-7天。若這些現象持續或有其他反應發,請立即告知治療醫師並安排回診。
  • 注射後三天內請輕柔清潔注射區域,並服⽤⼝服抗素或塗抹藥膏
  • 注射後週內避免到溫濕熱場所

常見問題

1.仙女玻尿酸的恢復期多久?

仙女玻尿酸具有高生物相容性與組織耐受性,通常治療後就能立即回復正常生活。

2.仙女玻尿酸的副作用為何?

治療後幾小時能可能會出現疼痛、泛紅、水腫、瘀青等,但這都是輕微且暫時性的,通常幾天內都會緩解消失,建議您可以依循診所提供的舒緩處置如冰敷,即可有效舒緩不適。

3.仙女玻尿酸多久能見效?

施打完立即見效,消腫後效果更為顯著。

4.仙女玻尿酸效果維持多久?

每個人因應體質、術後保養、生活習慣不同,維持時間也不一樣,仙女玻尿酸比一般玻尿酸維持時間更久、效果更好,約18-24個月。

衛生福利部醫療器材許可證
衛部醫器輸字第033914號